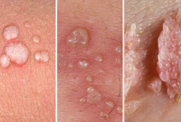
Bệnh Sùi Mào Gà

Nguyên nhân, triệu chứng và cách điều trị bệnh sùi mào gà
Tư vấn y khoa: Bs Đặng Tuấn Trình
Nam nữ giới mắc sùi mào gà sẽ phải đối mặt với nguy cơ ung thư dương vật, cổ tử cung, vòm họng khi nhiễm virus HPV type 16. Do đó, việc tìm hiểu, phát hiện sớm bệnh là vô cùng quan trọng. Nội dung bài viết dưới đây, bác...
Đốt sùi mào gà ở đâu tốt? Top 10 địa chỉ đốt sùi mào gà...
Tư vấn y khoa: Bs Đặng Tuấn Trình
Đốt sùi mào gà là một trong những phương pháp điều trị sùi mào gà phổ biến hiện nay. Phương pháp này đòi hỏi tay nghề bác sĩ cao, thực hiện trong môi trường y tế đạt chuẩn để đảm bảo hiệu quả và an toàn điều trị. Vậy nên...
Bệnh lậu và những điều cần biết
Tư vấn y khoa: Bs Lê Đỗ Nguyên
Lậu là bệnh xã hội nguy hiểm, không chỉ gây ảnh hưởng tới sinh hoạt thường ngày mà còn đe dọa tới khả năng sinh sản của người bệnh nếu không được phát hiện và điều trị sớm. Bên cạnh việc thực hiện các biện pháp phòng ngừa, người bệnh...
5 Cách Chữa Bệnh Sùi Mào Gà
Tư vấn y khoa: Bs Đặng Tuấn Trình
Sùi mào gà là một trong những bệnh xã hội có tỷ lệ mắc cao nhất hiện nay. Bệnh hoàn toàn có thể chữa khỏi nếu được phát hiện sớm và điều trị kịp thời, đúng phương pháp. Do vậy nếu có biểu hiện của bệnh, bạn nên liên hệ...
Tư vấn bệnh xã hội Online Miễn Phí qua trực tuyến
Tư vấn y khoa: Bs Lê Đỗ Nguyên
Tỷ lệ người mắc bệnh xã hội đang có dấu hiệu ra tăng. Nhưng tỷ lệ nghịch với nó thì số người hiểu biết về bệnh lại rất ít. Vì thế, nội dung bài viết hôm nay bác sĩ Lê Đỗ Nguyên - Chuyên khoa bệnh xã hội của phòng...
10 cách chữa bệnh sùi mào gà hiệu quả nhất hiện nay
Tư vấn y khoa: Bs Đặng Tuấn Trình
Sùi mào gà có thể gây ra nhiều biến chứng nguy hiểm, ảnh hưởng nặng nề đến sức khỏe và tâm lý của người bệnh. Do đó, việc phát hiện và điều trị bệnh triệt để là vô cùng quan trọng. Cùng tham khảo qua những cách chữa bệnh sùi...
Top 10 Địa Chỉ Bệnh Viện Phòng Khám Chữa Bệnh Lậu Uy Tín Tại Hà...
Tư vấn y khoa: Bs Lê Đỗ Nguyên
Nên khám bệnh lậu ở đâu? Xét nghiệm bệnh lậu ở đâu? Hay địa chỉ nào chữa bệnh lậu uy tín và tốt nhất ở Hà Nội hiện nay? Đây là những thắc mắc của khá nhiều người bệnh đang không may mắc phải bệnh lậu. Bởi đây là một...
5 cách chữa sùi mào gà tự nhiên tại nhà
Tư vấn y khoa: Bs Đặng Tuấn Trình
Thực tế, có không ít người bệnh mắc sùi mào gà vì e ngại đi khám và điều trị tại các cơ sở y tế mà lựa chọn các phương pháp dân gian để chữa bệnh. Vậy các biện pháp chữa sùi mào gà tại nhà như thế nào? Điều...
Chi phí khám chữa bệnh sùi mào gà hết bao nhiêu tiền?
Tư vấn y khoa: Bs Đặng Tuấn Trình
Chi phí khám và chữa trị bệnh sùi mào gà hết bao nhiêu tiền, chi phí chữa có mắc không?,…. là thắc mắc của nhiều bệnh nhân. Hầu hết bệnh nhân đều lo sợ mức chi phí chữa bệnh cao, đặc biệt với những bệnh nhân khó khăn về vấn...
Sùi mào gà ở hậu môn
Tư vấn y khoa: Bs Đặng Tuấn Trình
Sùi mào gà là bệnh lý thường xảy ra ở những đối tượng có đời sống tình dục không lành mạnh. Nhiều người vẫn nghĩ rằng các nốt sùi mào gà chỉ mọc ở bộ phận sinh dục. Nhưng thực tế, sùi mào gà có thể xuất hiện ở bất...







