Bệnh Sùi Mào Gà

5 bác sĩ chuyên khoa da liễu khám chữa bệnh sùi mào gà uy tín...
Tư vấn y khoa: Bs Đặng Tuấn Trình
Khi nghi ngờ mắc bệnh sùi mào gà, người bệnh nên đi khám và điều trị sớm bởi bác sĩ chuyên khoa da liễu, bệnh xã hội. Tuyệt đối không nên mua thuốc bôi chữa sùi mào gà được quảng cáo tràn lan trên trên Internet vì có thể làm...
Top 10 Địa Chỉ Khám Chữa Bệnh Sùi Mào Gà Uy Tín Hà Nội Hiện...
Tư vấn y khoa: Bs Đặng Tuấn Trình
Sùi mào gà là một trong những bệnh lý lây truyền qua đường tình dục phổ biến, có ảnh hưởng nghiêm trọng tới sức khỏe của người bệnh, thậm chí có thể gây ra biến chứng ung thư dương vật, cổ tử cung, vòm họng,...Do đó, việc phát hiện sớm...
Cách chữa trị bệnh sùi mào gà ở nam và nữ hiệu quả, không tái...
Tư vấn y khoa: Bs Lê Đỗ Nguyên
Sùi mào gà là bệnh lý có ảnh hưởng nghiêm trọng tới sức khỏe của người bệnh, thậm chí có thể gây ra các biến chứng ung thư dương vật, cổ tử cung, vòm họng,...Do đó, việc phát hiện và điều trị sớm là cách để ngăn ngừa các biến...
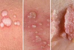
Dấu hiệu nhận biết bệnh sùi mào gà ở nam và nữ
Tư vấn y khoa: Bs Đặng Tuấn Trình
Sùi mào gà là bệnh lây truyền qua đường tình dục phổ biến, có thể xảy ra ở cả nam và nữ. Nếu không được phát hiện và điều trị sớm, bệnh có thể gây ra những hệ lụy khó lường. Vì vậy, nắm được những biểu hiện lâm sàng...
Địa Chỉ Khám Chữa Bệnh Sùi Mào Gà Uy Tín Hà Nội
Tư vấn y khoa: Bs Lê Đỗ Nguyên
Sùi mào gà là bệnh lý có ảnh hưởng nghiêm trọng tới sức khỏe của người bệnh, thậm chí có thể gây ra các biến chứng ung thư dương vật, cổ tử cung, vòm họng,...Do đó, việc phát hiện và điều trị sớm là cách để ngăn ngừa các biến...
Phòng Khám Đa Khoa Quốc Tế Hà Nội – Địa Chỉ Chữa Bệnh Sùi Mào...
Tư vấn y khoa: Bs Đặng Tuấn Trình
Sùi mào gà nếu không được phát hiện và điều trị sớm không chỉ sinh hoat hàng ngày mà sức khỏe sinh sản của người bệnh cũng bị ảnh hưởng. Do đó, ngay khi có triệu chứng của bệnh, bạn đừng chần chừ, hãy sớm đến cơ sở y tế...
Bảng Giá Khám Chữa Sùi Mào Gà Tại Phòng Khám Đa Khoa Quốc Tế Hà...
Tư vấn y khoa: Bs Đặng Tuấn Trình
Đối với mỗi cơ sở y tế, ngoài chất lượng khám chữa bệnh, chi phí cũng là yếu tố được quan tâm hàng đầu. Vậy tại một phòng khám uy tín với đội ngũ các bác sĩ chuyên khoa giỏi, cùng chất lượng dịch vụ tiêu chuẩn quốc tế như...
Bệnh Sùi Mào Gà Có Chữa Khỏi Được Không?
Tư vấn y khoa: Bs Đặng Tuấn Trình
Sùi mào gà được xem là một trong những bệnh gây ảnh hưởng nhiều đến chất lượng cuộc sống và sinh hoạt tình dục của bệnh nhân. Vậy sùi mào gà có tự khỏi không hay có thể chữa khỏi sùi mào gà không? Nếu bạn đang quan tâm những...
Cách nhận biết sớm sùi mào gà để điều trị kịp thời, hiệu quả
Tư vấn y khoa: Bs Lê Đỗ Nguyên
Sùi mào gà là một trong những bệnh lây truyền qua đường tình dục phổ biến, gây ra nhiều tác động tới sức khỏe, khả năng sinh sản của người bệnh. Do đó, ngay khi nhận thấy dấu hiệu của bệnh, bạn hãy đến gặp bác sĩ chuyên khoa sớm...
Địa Chỉ Khám Chữa Sùi Mào Gà Chất Lượng Uy Tín Nhất Tại Hà Nội
Tư vấn y khoa: Bs Lê Đỗ Nguyên
Việc lựa chọn cơ sở y tế khám chữa bệnh sùi mào gà là đặc biệt quan trọng bởi nó quyết định tới kết quả chẩn đoán cũng như hiệu quả điều trị. Chính vì thế, tốt nhất nữ giới nên chọn các cơ sở y tế chuyên khoa uy...







